Zrobotyzowana radioterapia
stereotaktyczna CyberKnife

Radioterapia stereotaktyczna

Precyzyjna metoda radioterapii umożliwiająca podanie wysokiej dawki promieniowania jonizującego na obszar zmiany patologicznej z zaoszczędzeniem sąsiadujących z nią prawidłowych tkanek.

Efektem leczenia jest obumarcie komórek nieprawidłowych i znikomy negatywny wpływ na zdrowe narządy zlokalizowane wokół zmiany napromienianej.

Zalety metody
  • niszczenie guza bez ingerencji chirurgicznej
  • możliwość leczenia zmian nieoperacyjnych
  • bezbolesna
  • nie wymaga znieczulenia i hospitalizacji
  • krótki okres leczenia
  • zachowanie narządów i ich funkcji
  • znikome efekty uboczne po leczeniu
Więcej o radioterapii stereotaktycznej

Rodzaje nowotworów, które możemy leczyć metodą radioterapii stereotaktycznej

Leczenie guzów ośrodkowego układu nerwowego
  • Pojedyncze i mnogie przerzuty guzów litych, a także radioterapia uzupełniająca loży pooperacyjnej, po usunięciu zmiany przerzutowej
  • Oponiaki
  • Nerwiaki nerwu przedsionkowo- ślimakowego
  • Gruczolaki przysadki
  • Czerniak gałki ocznej
  • Powtórna radioterapia w przypadku wznów guzów pierwotnych OUN
  • Malformacje tętniczo-żylne (AVM)
Inne
  • Neuralgia nerwu trójdzielnego
  • Przerzuty nowotworowe do np.: węzłów chłonnych, kręgosłupa czy wątroby
  • Nowotwory pierwotne np.: rak wątroby
  • Powtórna radioterapia w przypadku wznowy nowotworów różnych lokalizacji
20 lat

doświadczenia w leczeniu
radiochirurgią zmian w OUN

12 lat

leczenia aparatem CyberKnife

2096

leczonych pacjentów

2800

napromienianych zmian

Nasze aparaty terapeutyczne

Obecnie posiadamy dwa modele - nóż cybernetyczny CK VSI oraz CK S7.

Więcej o naszych aparatach
Nóż cybernetyczny CK VSI
CK VSI
Nóż cybernetyczny CK S7
CK S7

Sale zabiegowe oraz
wykorzystywane roboty

Nasi leczeni pacjenci

Przed leczeniem
Po leczeniu
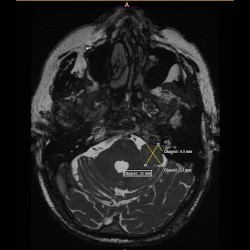
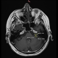
Guz lewego kąta mostowo-móżdżkowego

W dn. 15.09.2021 do Poradni Radioterapii zgłosił się chory z niedosłuchem lewostronnym i zaburzeniami równowagi. W wyniku MRI głowy w lewym kącie mostowo-móżdżkowym widoczna była lita masa silnie wzmacniającego się guza, który cienką wypustką wpuklał się do światła przewodu słuchowego wew.

Więcej o leczonych pacjentach

Etapy przygotowania do leczenia

1
Etap

Kwalifikacja do leczenia

Podczas wizyty konsultacyjnej pacjenta w Poradni Radioterapii, lekarz radioterapeuta podejmuje decyzję odnośnie leczenia metodą radioterapii stereotaktycznej.

Przygotowanie unieruchomienia

W zależności od lokalizacji leczonej zmiany elektroradiolodzy planujący dopasowują odpowiednie unieruchomienie indywidualne dla każdego pacjenta.

2
Etap
3
Etap

Opracowanie planu leczenia

Fuzja obrazów MRI i TK, konturowanie obszaru, który ma zostać poddany radioterapii, narządów krytycznych oraz zlecenie dawki przez lekarza.

Akceptacja histogramu dawek

Po akceptacji przez zespół przygotowanego planu, zostaje on poddany weryfikacji dozymetrycznej.

4
Etap

Zabieg radioterapii

Przed radioterapią

  • Pacjent może zjeść lekki posiłek.

  • Należy przyjąć leki zażywane przewlekle.

W trakcie radioterapii

  • Procedura trwa około 20-40min. Napromienianie odbywa się w pozycji leżącej.

  • Zabieg jest bezbolesny. Nie ma konieczności stosowania leków przeciwbólowych i znieczulających.

  • Pacjent znajduje się pod stałą obserwacją elektroradiologów, obsługujących aparat.

Po radioterapii

  • Mogą pojawić się wczesne efekty uboczne: bóle i zawroty głowy, nudności, wymioty, senność, nadwrażliwość skóry.

  • Należy poinformować o dolegliwościach lekarza, który zaleci odpowiednie leczenie objawowe.

Często zadawane pytania

Jak wygląda i ile trwa zaplanowanie leczenia?

W zależności od lokalizacji i rodzaju nowotworu, przygotowanie planu leczenia trwa od 3 do 7 dni.

W jaki sposób przygotować się do seansu radioterapii?

Chory przez rozpoczęciem radioterapii zwykle nie musi specjalnie się przygotowywać. Należy zjeść lekki posiłek rano i przyjąć leki zażywane na stałę.

Jak długo trwa seans?

Seans radioterapii trwa od 15 do 60 minut. W przypadku zmęczenia chorego, na jego prośbę, można zrobić krótką, kilkuminutową, przerwę w napromienianiu.

Czy leczenie nie stanowi zagrożenia dla osób towarzyszących i rodziny?

Teleradioterapia NIE stanowi zagrożenia dla rodziny pacjenta (również dla małych dzieci, ani kobiet w ciąży w otoczeniu chorego). Po wyjściu z bunkra, w którym umieszczony jest aparat terapeutyczny pacjent NIE emituje promieniowania jonizującego.

Jakie są skutki uboczne terapii?

Po radioterapii może pojawić się: zmęczenie, senność, bóle, zawroty głowy. Wszystkie objawy mają zwykle niewielkie nasilenie i ustępują samoistnie lub po podaniu leków objawowych. O wszystkich niepokojących objawach należy poinformować lekarza radioterapeutę.

zamknij menu
Wielkopolskie Centrum Onkologii logo
Przewiń do góry